Typical contexts
Age estimation concerns constellations in which a person’s age is legally relevant and the available documents do not permit a reliable clarification. This may concern legal majority, criminal-law thresholds, classification under juvenile criminal law, or other proceedings in which an age threshold defines the legal framework.
Typical contexts are missing, contradictory, or insufficient age documents, administrative or judicial reviews of legal majority, as well as questions concerning criminal responsibility or classification into juvenile-law age groups. What remains decisive is always which age threshold is legally relevant in the concrete proceedings and on what basis individual examinations may be considered at all.
The starting point is always a concrete evidential question. The assessment does not replace legal appraisal, but provides its specialist basis. For that very reason it is decisive which age threshold is actually to be examined and on what legal basis individual examinations are admissible.
Methodological framework
Age estimation is structured in stages. Individual findings are not exaggerated in isolation, but are brought together in an integrated medical-anthropological appraisal. This restraint is not a deficiency, but methodologically required. Borderline cases in particular can only be assessed properly if minimum age, most probable age, and the range of the findings are kept distinct.
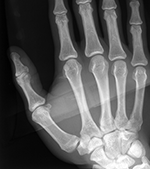
Typical examinations
Which examinations may be considered in an individual case depends on the procedural situation and the legal basis. Typical components are the physical examination, the dental examination including orthopantomogram, the radiological assessment of the hand, and, in cases of advanced maturity and a corresponding question, supplementary findings at the clavicle. What is decisive is the ordered overall appraisal; an isolated single finding does not carry the conclusion. The evidential value therefore does not arise from a single image or a single maturity feature, but from the methodologically grounded combination of the permissible findings.



Expert conclusion
The report does not focus on an apparently exact age in years. What matters instead is the conclusion regarding a legally relevant age threshold. A sound assessment makes visible what the findings support, what they merely render probable, and where uncertainty remains. It is precisely this diagnostic restraint that increases the usability of the report in proceedings. The assessment does not replace legal appraisal, but provides the specialist basis for examining whether a particular age threshold has been exceeded. For practice it is important that minimum age, most probable age, and diagnostic uncertainty are kept linguistically distinct.
Practical significance
For commissioning parties, age estimation is particularly helpful when the age threshold can be clearly identified and it is already apparent which documents or prior findings are available. This concerns medical documents, images that have already been obtained, administrative records, and information on the procedural status to date.
This makes it possible at an early stage to clarify whether an initial classification on the basis of the file is sufficient, whether a full examination may be considered, or whether individual examinations are excluded for legal or factual reasons.
Initial enquiry
For an initial assessment, the specifically relevant age threshold, the procedural context, and a brief overview of already available documents are usually sufficient. It is also helpful to know on which legal basis further examinations are to be carried out.